Skip to main content

Ankle Replacement Update

January 19, 2022

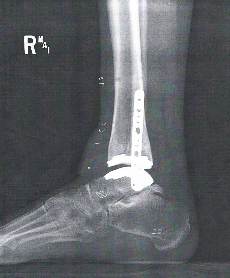
An ankle replacement. I have one. I received mine at age 30 and I’m currently 39. Was it a good decision or bad decision?

I have been receiving a lot of inquiries recently about some of my publications - my book, YouTube videos, articles, blogs, etc. (links available at the end of this article). I haven’t published an update in awhile. So here we go.

Here is the quick and dirty followed by the details…

Let the record state: Today is January 19, 2022 and I love my ankle replacement! Electing to receive my ankle replacement was one of my best medical decisions I have made to date!

Never skip the fine print (which is located here). Since I recommend not skipping this nugget of gold I’ll keep the font size readable… God did not create ankle replacements. Man did. Sure you can argue (and I’ll agree) that God helped man create ankle replacements but that is a conversation for a different article. My ankle replacement is NOT a perfect substitute for a young ankle that hasn’t sustained injuries. My ankle replacement has limitations (mostly range of motion); however, it has eliminated constant pain that camped out on the upper end of the pain scale. It is important to further note: my lack in range of motion doesn’t necessarily mean it is an issue with the ankle replacement. I had issues with my Achilles tendon, which Dr. Conklin lengthened during my ankle replacement surgery, and I’m not convinced I don’t have a bone spur that the replacement is catching on. It isn’t bad enough to warrant surgery so I’m continuing with my life. Side note: even after my injury I had great alignment which opened the conversation of ankle replacements in the first place.

What most people want to know is my activity level. The great news: I’m active every single day. I will not so humbly say I’m in better shape than most 39 year olds! And I’m part bionic!

I love to mountain bike, walk my dog, and do yoga. Let me expand on each.

While biking I have zero pain! When it comes to mountain biking my limitations are based on the trail and how great of shape I’m in! I use the Peloton app to stay in shape when it’s snowing outside, which means I’m biking year round. Biking is my jam (cheesy comment but proud to say it). In order to give my ankle the freedom to crank at the angle it prefers I lock into my pedals. In some of my older YouTube videos you will see I use “cages” on my pedals (because the full-on clips always made me nervous). I still use cages on my spin bike, but on my mountain bike I have upgraded to MagLOCK. I absolutely love them! There is a learning curve but I give them two thumbs up. Note: when you “lock” into your pedals it also gives your muscles a more balanced workout. Instead of only powering your bike by pushing down (with your quads) you also power it by pulling up (engaging your hamstrings)! You are working more muscle and therefore generating more power (and less fatigue).

When it comes to walking I have to be mindful. I can walk 2-3 miles a day for a few days in a row but then need to give my ankle some rest. I can hike four miles comfortably and can push myself to six or seven miles but need ibuprofen and rest for a few days. Still I’m grateful I can do it, yet this is why I mountain bike! The most important thing to note here is your shoes! Your shoes make all the difference in the world! After trying full custom orthotics (that were an epic fail at nearly $400) my mom convinced me to try semi-custom shoe inserts by Road Runner. Wowza! Awesome! If you have ANY feet issues go try these bad-boys! They are under $100 a pair and are good for around 500 miles. Go ahead and buy some shoes while you are at Road Runner because they will fit you properly. This is a big reason I can walk miles on a regular basis! My dog is grateful too. When I want something different than a tennis shoe my go-to is a Dansko.

Yoga. I enjoy it but I also do it because it keeps my muscles limber and working. Did you read the above? Stretching is imperative to an active lifestyle. It also helps with my hip that has been irritating me. Thankfully I only have a mild form of hip dysplasia, and popping hip syndrome, but yoga seems to help more than anything else!

The only other thing I will mention in this particular article is to eat healthy and pay attention to your weight. I know this is probably something you don't want to hear but it is important. The more weight you put on your body the more stress you cause on your joints.

That is an update long enough for an article you may stumble across in your ankle replacement research. If you want to know more about the journey, medical decisions, fears, trials, errors, etc. I highly recommend taking the time to read, or at least thumb through, Blood, Sweat & Tiaras.

Finally, I’m always happy to connect with those of you who are on the ankle journey of exploring your options. If you want chat in further detail please send me a message here!

Links to resources and further research:

Blood, Sweat and Tiaras (my book)

Zimmer Biomet Ankle Replacement (the ankle replacement I received)

Dr. Mark Conklin (who performed my ankle replacement surgery)

MagLOCK (best bike pedals)

Road Runner (for the semi-custom shoe inserts)

Dansko shoes

YouTube videos

A MUST WATCH: Augmented
View the trailer here
In the notes on this video trailer it tells you how to watch the whole documentary. This technology is fascinating and gives me so much hope about where medicine is going!

adrienne bulinski ankle replacement.jpg
You're Invited!

Join Our Community Of Positive Go-Getters! Enter Your Email For Access To Business Tips, Life Advice, and Little Reminders To Find Joy In The Journey